The story of brain is always an amazing one, unwinding mysteries with each new discovery, that is fascinating all the neuroscientists around the world, but it takes another interesting turn when it is just about its half part! Imagine living an entire life with just half brain! Knowing that every corner of brain is jam packed with data and each lobe has its own importance for controlling various organs and their activities.
So far it is known that, left hemisphere of the brain has analytical, mathematical and logical roles related with facts and logic whereas right hemisphere of the brain has the ability of feelings visualization, imagination, intuitions contributing to creative and holistic thinking (Dahlia W. Zaidel, 2013). As these two hemispheres are connected with the tract of nerve fibres, even if the two sides function differently, they cannot do so independent of each other. They work together and complementing each other. For example, in order to solve a mathematical query, left part will play its role in understanding the problem whereas the right part will contribute in rough estimations and comparisons. Also, each cerebral hemisphere is further divided into lobes, and again, into specific areas which has its own particular role to serve. So how exactly a person can live normally with any part missing?
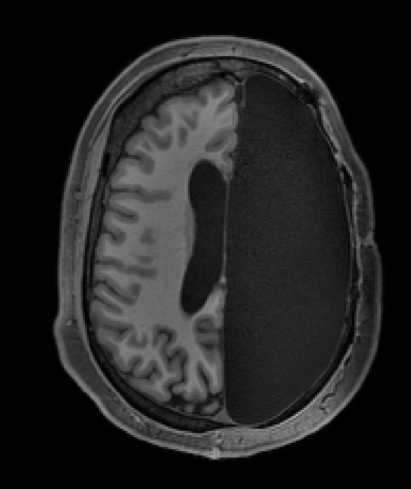
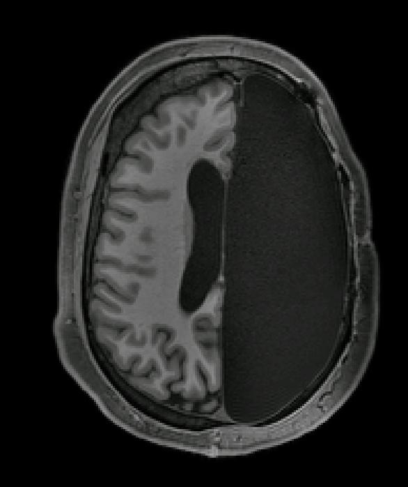
It almost seems impossible to think of a life like that but there are active cases where individuals are leading their life with just half part of the brain by birth or surgical removal of diseased part of brain, called hemispherectomy as measure to treat seizures and other neurological disorders which does not respond to medicines.
Well, that’s perhaps because the body of person with such condition adapt changes by making certain neurological activities from the disconnected or missing half of their brain shifted to other half. This is a property of brain is known as neuroplasticity, that can be defined as the ability of brain to adapt the changes as a result of experience through growth and reorganization of the tissue, which makes surgeries like hemispherectomy a successful method to treat patients with epilepsy or any other neurological issues. In epilepsy, the brain wiring changes abnormally which results in mild sensation, changes in behaviour and often loss of awareness. Through hemispherectomy, the part or half of brain in patients are either removed or made disconnected from the other parts of brain physically, and it was found out that the majority of them made a recovery against it. “The people with hemispherectomy that we studied were remarkably high functioning,” said Dr. Dorit Kleiman, a post-doctoral fellow at California Institute of Technology. Moreover, they had strong brain connections between numerous functional networks. The only condition being, these surgeries to be performed at an early age, as the neuroplasticity is heightened during childhood as compared to adults (Fatima Yousif Ismail, et al., 2006) enabling the brain to reconstruct and body to adapt new changes accordingly.
Few years ago, a case of a lady was reported to be missing her cerebellum, a unique region situated in the rear of the brain. It controls coordination of muscle movements, balance and posture of the body According to some estimations, the human cerebellum comprises half of the brain cells. This isn’t a solely damage but the almost the entire framework is missing. Despite this, that woman has a regular life, she graduated from high school, got married and have kids. This instance of missing cerebellum demonstrates that the brain does not have such a simple plan, it is way more complex than we ever think of. Just like when a character is influenced by multiple genes, even if one gene is lost the other can code and compensate it to some extent to derive its function normally. Similarly, if one structure from brain is knocked out, the other can pick it up. Different parts of the brain do a single task in quite different ways.
A similar case was reported in 17 years old Italian boy, whose left-brain hemisphere was removed at the age of two and a half, in order to remove a huge benign tumor. As a result, he suffered loss of native language and struggled for many years to recover. In later years, with the help of rehab, his language fluency improved remarkably. The study has shown that, although his right hemisphere alone, by itself, cannot provide perfect mastery over the linguistic skills but right hemisphere was able to develop a number of them by almost replicating left hemisphere like blueprint. This type of case studies are specific to some individuals, yet provides a classic example of brain’s immense capacity to adapt according to damage or illness at a young age.
The hemispherectomy research program at Caltech, directed by Lynn Paul, aims to duplicate and expand this work in the future to learn more about how the brain grows, integrates, and functions in people with a variety of brain impairments. Degeneracy, according to Edelman and his collaborator Joseph Gally, is a “ubiquitous biological property, a feature of complexity” that is inevitable result of natural selection. It explains why odd brain diseases aren’t dangerous as they appear each time, as well as why scientists find the three-pound organ, encased in skull away from all the limelight so difficult to comprehend.
We see that solving a brain mystery seems to be as complex as finding a needle in the sea…
Very intriguing topic and very well written